Tecnologia Laser per lo Studio Dentistico a Terni
EPIC 10: La nuova generazione di Laser a diodi

Inserisci qui un sottotitolo
Lo studio dentistico del Dottor Marco Dormi effettua trattamenti con tecnologia laser, utilizzando il laser a diodi di ultima generazione Epic 10. E' possibile utilizzare la tecnologia lase per diversi trattamenti tra cui: sbiancamento dentale professionale, parodontologia e disturbi ATM.
Benefici e Applicazioni
Benefici
- Minor dolore intra-operatorio
- Minor dolore post-operatorio
- Minimamente invasivo
- Riduzione dell’ impiego di anestetico
- Emostasi, anche in pazienti a rischio
- Precisione di taglio
- Guarigioni più rapide
- Ridotto edema post-operatorio
- Guarigione per seconda intenzione
- Minor uso di sutura
- Riduzione della carica batterica
- Grande compliance del paziente
- Riduzione dell’ uso di farmaci nella disfunzione ATM
Applicazioni
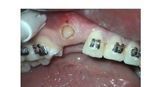
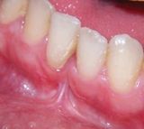
- Chirurgia mucogengivale
- Gengivectomia-gengivoplastica
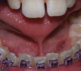
- Frenulectomia
- Allungamento di corona
- Endodonzia
- Parodontologia
- Mucositi-perimplantiti
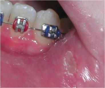
- Afta-Herpes
- Desensibilizzazione
- Sbiancamento
- Biostimolazione
Applicazioni Cliniche
- Sbiancamento in 20 minuti
Con il manipolo ed il kit sbiancante si ottiene un ottimo sbiancamento
- Terapia antalgica
Si possono trattare le sindromi dolorose dell’ ATM e di altri disordini miofacciali con il manipolo Deep Tissue Handpiece™





































